近日,上海交通大学医学院附属瑞金医院耳鼻咽喉科徐赫医生,在云南省墨江县人民医院帮扶工作期间,成功为一名患有巨大鼻根部肿物29年的当地患者实施了肿物切除与鼻骨缺损修复手术。
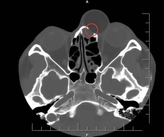
李先生自年幼时起,鼻根部就有一个小肿物,随着岁月流逝,至今已经29岁,这个原本不起眼的“小疙瘩”竟缓慢却持续地增大,如今已如鸽子蛋般大小。它不仅严重影响了李先生的面容,给他带来了巨大的心理压力,更压迫视野,导致日常生活极为不便。近几年来,肿物仍有增大趋势,随时可能进一步压迫眼球,引发更严重的并发症。经检查发现,由于肿物的长期压迫,其下方的鼻骨已被吸收殆尽,肿物甚至与鼻腔相通,病情复杂且棘手。

面对这一挑战,来自附属瑞金医院的援滇专家徐赫医生没有选择常规的鼻面部大切口,而是制定了周详且极具创意的手术方案。
“他最担心的是脸上留疤。因此本场手术既要根治肿物,又要保护他的面容。”徐赫医生介绍,为此,他设计了一条“藏在左侧眉毛内侧”的隐匿切口”,这个入口,使得整个手术的视野和进路都被最大程度优化。
手术中,他从眉毛处建立皮下隧道,稳稳地把这个压迫视野的巨大肿物完整剥离、顺利切除。眉毛长出后,疤痕将几乎不可见。
巨瘤切除后,鼻根部出现了明显的骨质缺损,相当于鼻梁被掏空了一块。若不修复,外形受影响不说,鼻腔结构也难以稳定。
面对这个难题,徐赫医生展现出他的“巧思”:利用鼻腔部位肿物切除时需切除“钩突”组织,亲手制作了一个包含骨质和黏膜的复合组织修复瓣。
“这可以说是一种‘就地取材、变废为宝’的思路。”徐赫医生解释道,“我们将这个修复瓣巧妙地移植到鼻骨的缺损处,让带有骨质的一面朝外支撑起鼻梁,黏膜的一面朝向鼻腔内,完美地重建了鼻部的骨性结构和鼻腔黏膜的完整性,为鼻部外观的恢复奠定了坚实的基础。”
手术过程顺利,术中出血极少。术后,李先生恢复迅速,鼻部外观得到了显著改善,视野压迫感完全消失。术后病理鼻腔、内外肿物均提示良性病变。他看着镜中恢复了正常轮廓的鼻子,激动之情溢于言表:“感觉背了几十年的一个大包袱终于卸掉了!”经术后一月余随访观察,眉毛初步长出,鼻腔内也恢复良好。