小潘同学今年14岁,是位中学生,平时学习成绩十分优秀。但近些日子小潘在上课时经常出现头痛。当地医院结合小潘情况开具了头颅CT检查,CT结果显示小潘颅内长了一个巨大肿瘤,这个肿瘤从垂体窝长到了脑内第三脑室。当地医生将结果告诉了小潘的父母并建议赶快到大医院去治疗。
老潘夫妇带着小潘走访多家大医院均被告知病人的肿瘤很大,而且位置十分深在,且因小潘还未成年,鼻窦尚未发育成熟,广泛钙化硬如石头,均建议开颅手术切除肿瘤。
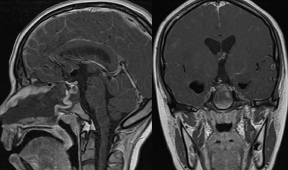
经过多方打听得知附属新华医院神经外科在颅咽管瘤治疗方面很有经验,王旭辉主任是经鼻内镜治疗颅咽管瘤和垂体瘤的专家。于是专程前往附属新华医院就诊,王主任首先给小潘开具了磁共振检查(图1),检查发现小潘得的是一种在儿童及青少年并不罕见的疾病,颅咽管瘤。

图1:术前磁共振检查
小潘的颅咽管瘤十分巨大,从垂体窝一直向上生长突破鞍隔并长穿第三脑室底。王旭辉主任向老潘一家详细的介绍了病人的病情,虽然肿瘤很大,位置也很深,肿瘤周围都是十分重要的结构,而且青少年的鼻腔还相对较小,但依然可以通过经鼻内镜微创的方式将小潘的颅咽管瘤全部切除。小潘一家听到后十分激动,这就是他们追寻的小创伤方案,于是小潘入院后,快速的完善了术前检验检查,入院后第三天小潘在全麻下开始手术。
因肿瘤巨大,全切后必然会导致颅腔和鼻腔相通,所以避免感染和颅底修补在手术中是非常重要的环节。王主任通过神经内镜进入患者鼻腔直奔肿瘤。由于青少年的鼻孔小,鼻腔及鼻旁窦发育还未成熟,蝶窦气化差体积小,所以经鼻的困难就是要先打通小潘的鼻腔通道直达蝶窦,这是能够接触到达肿瘤的前提条件,尽管难度很大,但王旭辉主任还是凭借丰富的经验将鼻腔通道成功打通。
在仅有几个毫米的空间打开垂体和视神经交叉之间硬膜后,发现该肿瘤系中央型颅咽管瘤,也就是说肿瘤起源于垂体柄中央,换言之肿瘤表面被一层薄薄的正常垂体柄组织所包裹,且肿瘤钙化十分严重。为将正常垂体柄组织的损伤将至最低程度,不影响垂体内分泌功能与损伤周边的正常垂体组织、视神经及周边的颈内动脉,王主任凭借多年的经验,首先从肿瘤中间切开,从肿瘤内部向外部逐步切除减瘤,将钙化的这部分肿瘤逐步分块切除。
整个手术的第二阶段需要将周边囊性肿瘤与周围正常组织分离达到肿瘤全切。此部分肿瘤周围存在非常多的重要解剖结构,主要有垂体上动脉、颈内动脉、大脑前动脉、基底动脉、大脑后动脉及视神经等,在抵近观察颅底重要周围结构后,王主任用精细的手术器械通过非常狭小的操作空间将此部分肿瘤完全切除,且周围的正常结构完好保护。
凭借着极高的耐心和精细操作,越过视交叉等重要结构,分离肿瘤与下丘脑边界,将第三脑室底部最难切除的肿瘤一并切除。
尽管肿瘤被全部切除了,但并不意味着手术的结束,因为肿瘤被全切后鼻腔已经和颅腔完全打通,如果不进行严密的修补,患者术后会出现严重的高流量脑脊液鼻漏。用事先准备好的脂肪和带蒂黏膜瓣对鞍底进行修复,过程中还对鞍底硬膜进行了6针缝合,难度虽高,但王主任表示,虽然经过鼻腔缝合颅底硬膜很难,甚至大多数医院并未开展,但是每缝合一针就为患者争取到了更大的修复机会,可以大大降低脑脊液鼻漏的风险。
目前,经过术后一周的恢复治疗,小潘已经顺利出院,垂体各项功能保留完好,术后磁共振也证实患者的肿瘤得到全部切除(图2)

图2:术后磁共振也证实患者的肿瘤得到全部切除