近日,上海市第六人民医院胃肠外科夏阳副主任医师团队突破技术难点,应用腹腔镜微创技术,通过腹壁五个微创孔,成功为一名胸腔巨大复杂食管裂孔疝的病人实施手术治疗,术后三天即康复出院,解决了困扰患者多年的反流和胸痛顽疾。

60岁的张女士十多年来一直有烧心反流症状,常常在进食后觉得胸口闷胀、胸背部疼痛,服用多种药物都没有很好的效果,在外地医院CT检查后发现存在巨大的食管裂孔疝。当地医院医生告诉患者张女士,这么大的裂孔疝需要协同胸外科打开胸腔和腹腔才能解决。张女士感到十分焦虑,经多方打听得知市六医院夏阳副主任医师团队近几年在食管裂孔疝及胃食管反流领域积累了丰富的临床经验,遂慕名来到市六医院胃肠外科寻求帮助。
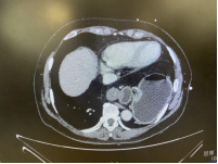
夏阳副主任医师在完善影像学检查发现,张女士所患为Ⅳ型食管裂孔疝,2/3的胃体从腹腔原来的位置通过膈肌食管裂孔钻入胸部后纵膈,并且发生胃扭转,同时还有部分结肠、网膜组织也都随胃的上移一并疝入。24小时测酸显示合并严重的反酸,并且由于长期的胃移位扭转,导致张女士进食困难、营养不良合并严重贫血。


由于病程时间长,疝内容物体积大且与周围毗邻的胸膜、后纵膈组织及膈肌脚黏连严重,疝囊顶部位置接近心脏心包后方及胸腔内大血管,稍有不慎会造成严重后果危机生命。这些都为手术制造了不少难度和挑战。由于左侧肺因为被巨大的疝内容物压迫超过60%,患者肺功能也受到一定的影响,对麻醉的实施也提出了很高的要求。8月30日,夏阳副主任医师团队在麻醉科倪文宗副主任医师的积极配合下,应用腹腔镜微创技术,经腹部五个小孔,通过扩大的食管裂孔进入胸部后纵膈,在有限的空间实施组织分离,精密解剖,将严重黏连、疝入的胃和结肠、网膜回纳至正常解剖位置,同时把胃底进行360度折叠包绕住松弛的食管下段,一并解决了胃食管反流问题。手术耗时1小时20分钟,术中出血小于10ml,术后第二天张女士即可下地活动,进食流质,第三天即康复出院。
夏阳副主任医师表示,食管裂孔疝是引起胃食管反流的重要原因之一,发病隐匿且容易被漏诊,往往被病人甚至专科医生忽视,此类病人口服一般制酸药物效果差,需手术治疗恢复正常解剖和食管下段压力,所引起的胃食管反流症状才能得到根治。

近年来,由胃肠外科夏阳副主任医师牵头成立的上海市第六人民医院胃食管反流及食管裂孔疝诊治联盟,联合消化内镜中心、消化内科、耳鼻咽喉头颈外科及呼吸内科等相关科室,成功诊治了很多胃食管反流、胃咽喉反流及食管裂孔疝的患者,为病人带来更为便捷的一站式服务。